Condropatia No Quadril

A condropatia no quadril é uma alteração na cartilagem que reveste a articulação, caracterizada pelo seu amolecimento ou desgaste progressivo. Essa condição é uma das causas mais comuns de desconforto e dor profunda na região da virilha, podendo afetar desde atletas que realizam atividades de alto impacto até pessoas com predisposição genética ou alterações anatômicas que geram sobrecarga mecânica.
O diagnóstico precoce da condropatia é essencial para evitar que a lesão evolua para uma artrose severa, onde a destruição da cartilagem se torna irreversível. Entender como essa patologia se desenvolve e quais são as opções terapêuticas disponíveis permite ao paciente preservar a saúde articular e manter uma vida ativa, evitando as limitações físicas e emocionais impostas pela dor crônica.
Principais causas da condropatia no quadril O desgaste da cartilagem pode ser desencadeado por diversos fatores, sendo o impacto repetitivo e o excesso de carga os mais frequentes no consultório. Alterações biomecânicas, como o impacto femoroacetabular, e o desequilíbrio da musculatura estabilizadora exercem pressão excessiva sobre a articulação. Além disso, traumas diretos, o processo natural de envelhecimento e fatores hereditários contribuem para a perda da integridade do tecido condral ao longo do tempo.
Sintomas que indicam o desgaste da cartilagem Os sinais iniciais costumam ser sutis, manifestando-se como uma dor leve na virilha ou na parte interna da coxa após esforços físicos prolongados. Com o progresso do quadro, a dor torna-se mais persistente, surgindo durante atividades simples como caminhar ou permanecer sentado por muito tempo. Sensação de rigidez articular ao acordar, estalos profundos e a diminuição progressiva da amplitude de movimento são indicadores importantes de que a cartilagem precisa de avaliação especializada.
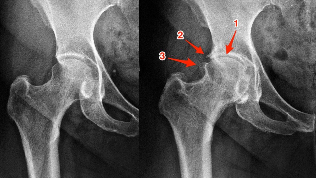
Exames e avaliação ortopédica especializada A investigação começa com um exame físico detalhado para identificar os pontos de dor e o grau de limitação funcional do paciente. Embora as radiografias ajudem a descartar fraturas ou deformidades ósseas evidentes, a ressonância magnética é o padrão-ouro para o diagnóstico, pois permite visualizar o estado da cartilagem em alta definição. Através dela, o ortopedista consegue classificar a gravidade da lesão e planejar a estratégia de tratamento mais adequada para cada caso.
Tratamentos ortopédicos para a condropatia O tratamento visa estabilizar o desgaste e aliviar os sintomas inflamatórios. Em fases iniciais, a fisioterapia é fundamental para o fortalecimento dos músculos e correção da biomecânica. Procedimentos de intervenção em dor, como a viscossuplementação com ácido hialurônico, são excelentes para melhorar a lubrificação articular. Em casos de lesões estruturais graves ou falha do tratamento conservador, a cirurgia artroscópica pode ser indicada para o reparo ou limpeza da cartilagem lesionada.
Buscar orientação médica aos primeiros sinais de dor é a medida mais eficaz para prevenir a progressão da condropatia e evitar a necessidade de cirurgias mais invasivas no futuro. O acompanhamento regular permite que intervenções minimamente invasivas sejam realizadas no momento oportuno, garantindo melhores resultados e uma recuperação mais acelerada para o paciente.
Com o diagnóstico preciso e a adesão ao plano terapêutico, é possível controlar o desgaste, restaurar a função do quadril e retomar as atividades diárias com conforto. Investir no cuidado precoce da cartilagem é garantir uma longevidade articular saudável e preservar a qualidade de vida por muitos anos, mantendo a independência e o bem-estar.